Willkommen bei den Blackbeauty`s Miniature American Shepherds aus Recklinghausen Startseite über uns Hündinnen Anpaarung Welpen Nachzuchten News Erfolge Flyball Show`s Die Regenbogenbrücke Links Kontakt Impressum 29.04.2012
Sarah hat sich endlich getraut !!!! Wir haben unsere Begleithundeprüfung bestanden
16.01.2013
Wir freuen uns auf meine Welpen, der heutige Ultraschall war positiv
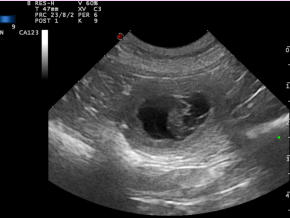
29.10.2015
Wir freuen uns auf Welpen von Azu und Hobbit, der heutige Ultraschall war positiv
29.06.2016
Curly und Markus haben die Begleithundeprüfung bestanden!!!
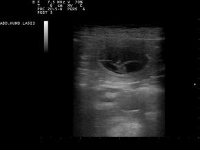
09.10.2016
Ich werde Mama, der heutige Ultraschall war positiv.
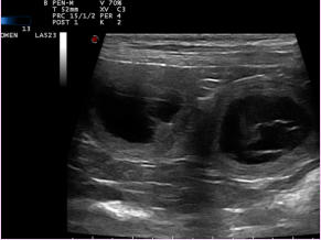
02.03.2018
Wir freuen uns auf Welpen von Juno und Azu
News